
DEGUM Stufe III
Ultraschalldiagnostik
Innere Medizin
„Ultraschall hat keine bekannte schädliche Wirkung, ist beliebig oft wiederholbar und ohne besondere Vorbereitung durchführbar. Damit ist die Sonografie eine optimale bildgebende Methode in der Vorsorge.“
Ultraschall-Einsatz im Rahmen des Check-ups
Ultraschall der Bauchorgane
Zu den untersuchten Organen des Oberbauches zählen Leber, Gallenblase einschließlich Gallenwegen, Nieren, Milz und die Bauchspeicheldrüse. Im Unterbauch können Prostata bzw. die Gebärmutter und Eierstöcke sowie die Harnblase mitbeurteilt werden.
Zusätzlich erfolgt eine Beurteilung von Gefäßen: Hauptschlagader („Aorta“) und Hauptvene sowie die großen abgehenden Äste der Aorta (versorgende Arterien für Leber und Milz, die Nieren und den Darm). Auch die Durchblutung der Leber sowie der Nieren wird dargestellt und vermessen. Ferner können vergrößerte Lymphknoten erkannt werden.
Schwieriger ist die Darstellung luftgefüllter Organe wie Magens oder Darm. Diese können daher häufig nur in kleineren Abschnitten bzw. hinsichtlich bestimmter Fragestellungen beurteilt werden.
Neben Steinleiden, entzündlichen oder auch tumorösen Veränderungen können Erkrankungen der Blutgefäße dargestellt werden (Verkalkungen, Verengungen und Aussackungen- „Arteriosklerose und Aneurysmen“).
Ultraschall der Leber mit Leberdurchblutung:
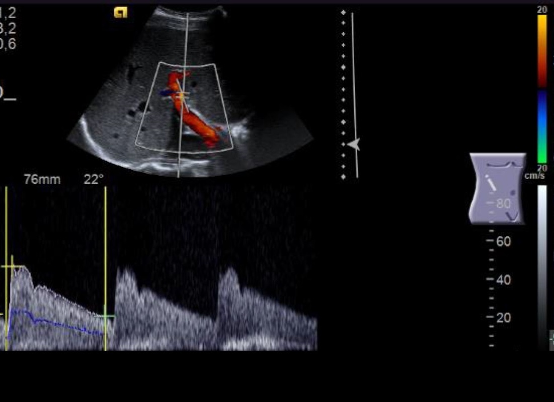
Ultraschall der Halsgefäße
Hierbei werden die hirnversorgenden Gefäße durch Ultraschall dargestellt.
Zum einen wird die Wand der Halsschlagadern beurteilt, um Frühzeichen von Arteriosklerose zu erkennen: eine wichtige Messgröße ist hier die Dicke der Gefäßinnenhaut: die „Intima media-Dicke“. Diese ist bei jungen Menschen hauchzart und misst 0,4-0,5 mm. Die Gefäßwanddicke nimmt im Laufe des Lebens zu, sollte aber nie die Dicke von 0,8 mm überschreiten.
Zum Anderen kann die Flussgeschwindigkeit des Blutes gemessen werden – damit errechnet man z.B. das Ausmaß einer Gefäßverengung.
Eine vorzeitige oder übermäßige Wandverdickung und im Gefolge Verkalkungen und Verengungen oder sogar Gefäßverschlüsse entstehen durch Risikofaktoren, die an der Gefäßwand angreifen. Hier sind die wesentlichen schädigenden Einflüsse Rauchen, Bluthochdruck, Cholesterinerhöhung und Zuckerkrankheit.
So gibt uns der Zustand der Halsschlagadern Aufschluss über das Risiko für Schlaganfälle und auch Herzinfarkte: krankhafte Veränderungen der Halsgefäße gehen sehr oft mit Arteriosklerose der Herzkranzgefäße einher.
Ultraschall der Halsschlagadern (Arterien):
Herz-Ultraschall / Echokardiografie
In einer Herzultraschalluntersuchung (Echokardiografie) wird das schlagende Herz abgebildet. Es erlaubt Aussagen zur Größe und Pumpfunktion des Herzens. Auch die Herzklappen werden beurteilt: man kann sowohl Undichtigkeiten als auch Verengungen der Herzklappen sehen und in ihrem Schweregrad beurteilen. Narben im Herzmuskel lassen sich durch Minderbewegung in umschriebenen Herzabschnitten nachweisen. Eine Herzwandverdickung kann Hinweis auf einen bislang nicht erkannten Bluthochdruck im großen Körperkreislauf sein.
Indirekt ist eine Beurteilung der Druckverhältnisse im Lungenkreislauf möglich und erlaubt die Entdeckung von vernarbenden Lungenerkrankungen und -embolien.
Ultraschall der Schilddrüse
Die Schilddrüse hat die Form eines Schmetterlings und befindet sich unterhalb des Kehlkopfs vor der Luftröhre. Sie ist zwar ein kleines Organ (ca. 20 g leicht im Normalfall), doch sind die von der Schilddrüse gebildeten Hormone lebenswichtig und spielen in sämtlichen Stoffwechselvorgängen eine große Rolle.
Die Schilddrüsenfunktion wird durch die Schilddrüsenhormonbestimmung im Blut gemessen, aber auch die Bildgebung gibt oft deutliche Hinweise. So geht die häufigste Ursache für eine Schilddrüsenunterfunktion, die Hashimoto-Erkrankung, mit klassischen Veränderungen des Organs im Ultraschall einher.
Aufgrund des langjährigen Jodmangels in der Ernährung in Deutschland sind Schilddrüsenvergrößerungen und -knoten häufig und resultieren in der sogenannten „Kropfbildung“. Auch dies kann man mit Ultraschall sehr gut abbilden. Bösartige Schilddrüsenveränderungen sind erfreulicherweise insgesamt selten.




Wie funktioniert Ultraschall?

Wie die Fledermaus im Raum so orientiert sich der „Ultraschaller“ im menschlichen Körper: Der Ultraschallkopf des Sonographiegerätes sendet Schallwellen aus, die das Gewebe des Körpers durchdringen und an Grenzflächen reflektiert werden. Aus den reflektierten Wellen wird im Ultraschallgerät ein Bild erstellt: Live und in Echtzeit. Diese Schallwellen haben unterschiedliche Frequenzen, sämtlich aber „jenseits des Hörbaren“, eben „Ultra-Schall“. Je höher die Frequenz, desto besser ist die Auflösung – bei den aktuell hochauflösenden Schallköpfen im Zehntelmillimeterbereich – aber umso geringer ist die Eindringtiefe.
So benötigt man je nach untersuchten Organsystemen unterschiedliche Frequenzen: Wir können schallkopfnahe Strukturen (wie z.B. die Halsgefäße und die Schilddrüse) mit hochauflösenden Nahfeldschallköpfen untersuchen. Für die tieferliegenden Strukturen wie die „gut verpackten“ Bauchorgane benutzen wir Transducer, die weit in das Gewebe eindringen können, jedoch in der Tiefe eine nicht so hohe Auflösung haben (3-5 mm).
Spezielle Ultraschall-Methoden
Doppler-Methode
Aber der Ultraschall kann nicht nur verschiedene Gewebearten differenzieren, er kann auch ruhende von bewegten Strukturen unterscheiden. Hier kommt die „Doppler-Methode“ (nach dem österreichischen Physiker Christian Andreas Doppler) ins Spiel, mit der man z.B. fließendes Blut entdecken und sogar die Flussgeschwindigkeit messen kann: Das Signal verändert sich, je nachdem, ob und wie schnell der Blutstrom sich auf den Schallkopf zu oder von ihm wegbewegt. Dies wird durch eine Geräusch kodiert (Doppler-Sonographie) oder mit unterschiedlichen Farben belegt (Farbdoppler) – das ergibt dann die bekannten bunten Bilder.
Ultraschall mit Kontrastmittel
Eine noch bessere Beurteilung des Blutflusses insbesondere in kleinen Strukturen ermöglicht die Ultraschalluntersuchung mit einem Ultraschallkontrastmittel (CEUS – Contrast Enhanced UltraSound) – dieses hat sich insbesondere zur Klassifikation von Besonderheiten der Leber etabliert und wird mittlerweile für Spezialfragestelllungen in anderen Organsystemen ebenfalls benutzt.
Elastographie
Zusätzlich ist es möglich, mit Ultraschall die Steifigkeit unterschiedlicher Gewebestrukturen zu beurteilen: mithilfe der Elastographie kann weicheres von härterem Gewebe unterschieden werden. Dies macht man sich z.B. bei der Beurteilung der Lebergesundheit zunutze: eine entzündlich veränderte oder sogar schon vernarbte Leber ist deutlich härter als ein gesundes Organ.

























